AVC aux urgences
Suspicion avc aux urgences
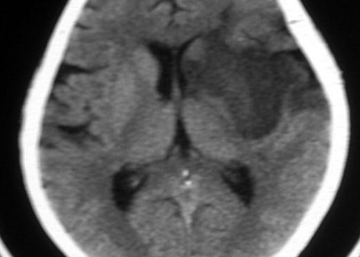
HEMORRAGIE SOUS ARACHNOIDIENNE
HEMORRAGIE SOUS ARACHNOIDIENNE
Score ABCD AVC
Score NIHSS simplifié (SFNV)
Protocole EME
Traitement de l’EME tonico-clonique généralisé

Accident vasculaire cérébral ischémique
Développement rapide et durable d’un déficit neurologique de topographie vasculaire

Purpura fulminans
Choc septique foudroyant, associé à un purpura extensif et une CIVD

Etat de mal épileptique
Trois crises successives sans reprise de conscience ou lorsqu’une activité convulsive continue se prolonge au-delà de 5 - 10 min.

