
Il y a 7 ans
Subarachnoid Haem

Il y a 7 ans
PCA Infarct

Il y a 7 ans
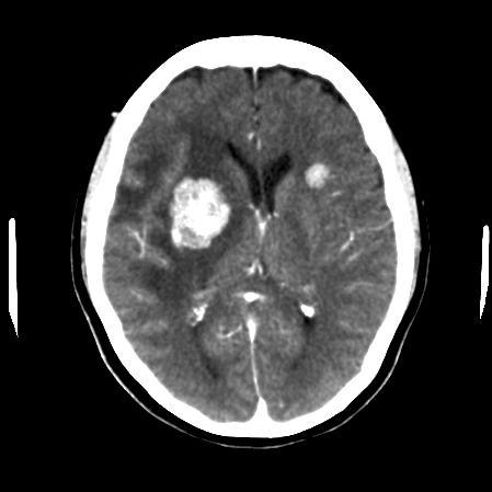
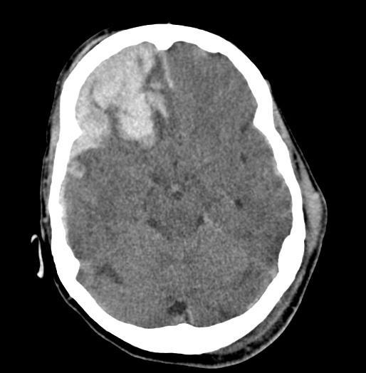
Multiple Brain Mets

Il y a 7 ans
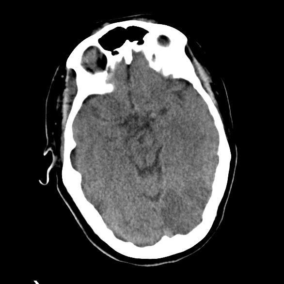
Massive ICH

Il y a 7 ans
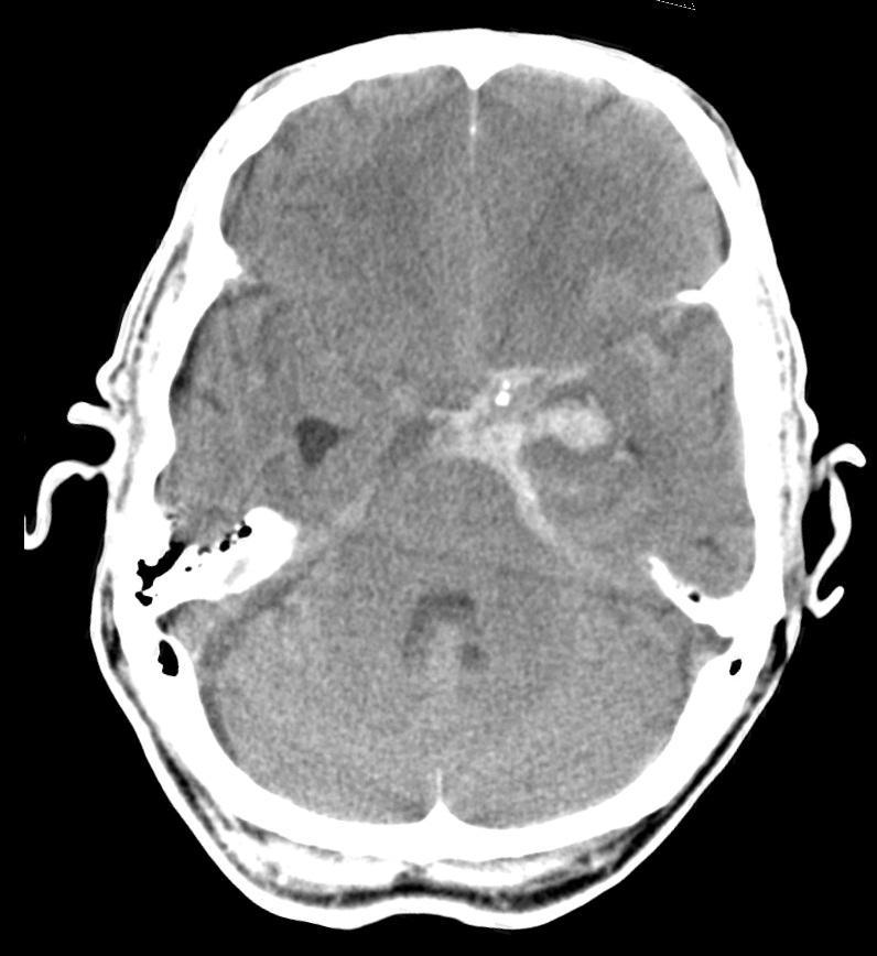
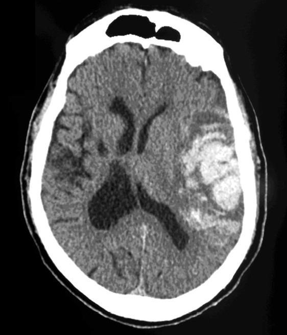
Intracerebral Haem

Il y a 7 ans
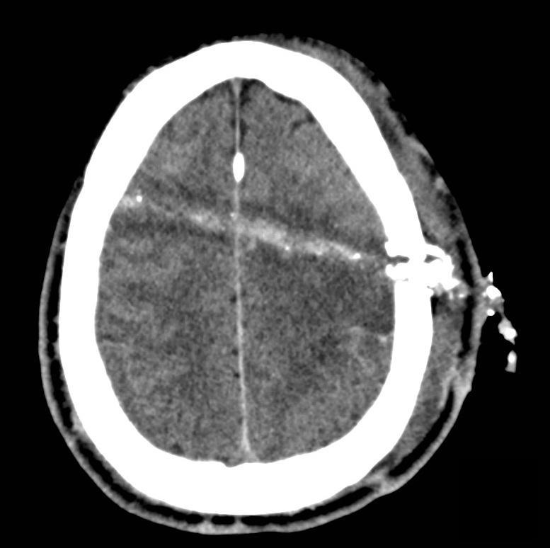
GSW Skull

Il y a 7 ans
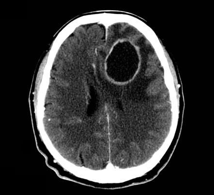
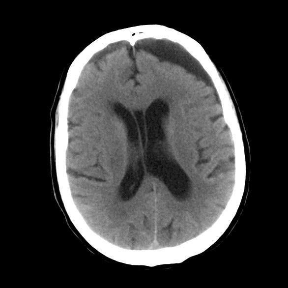
Frontal SOL

Il y a 7 ans
Frontal Contusions

Il y a 7 ans
Extradural Haem3

Il y a 7 ans
Extradural Haem2

Il y a 7 ans
Extradural Haem

Il y a 7 ans
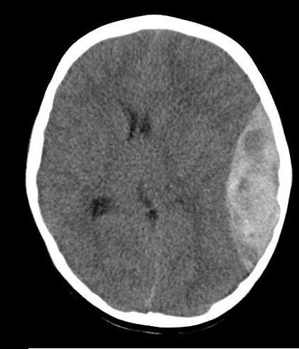
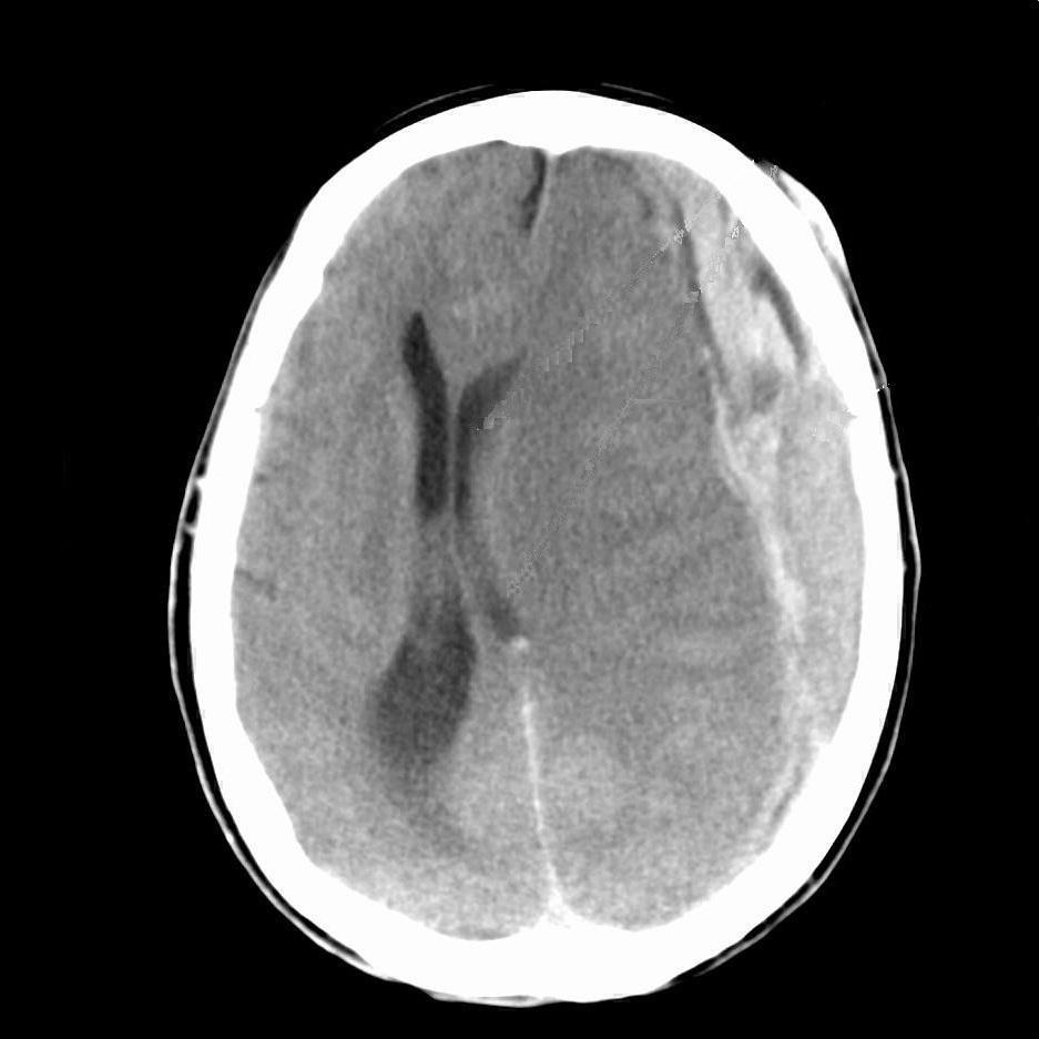
Chronic Subdural Haemorrhage

Il y a 7 ans
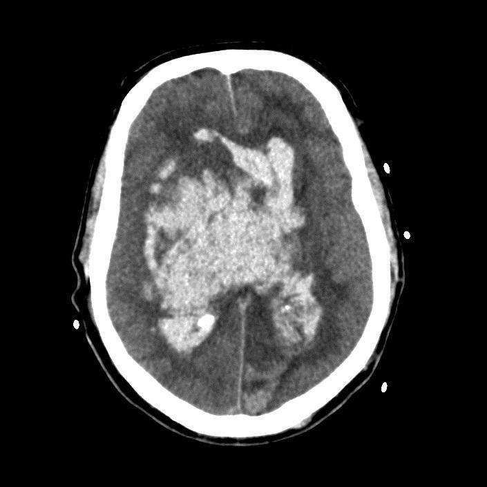
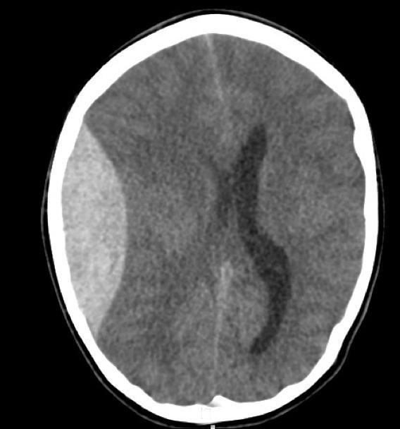
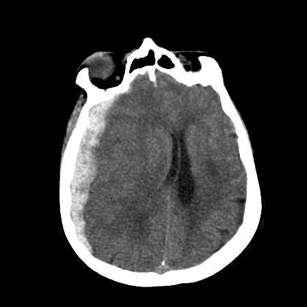
Acute Subdural

Il y a 7 ans
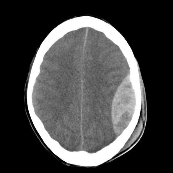
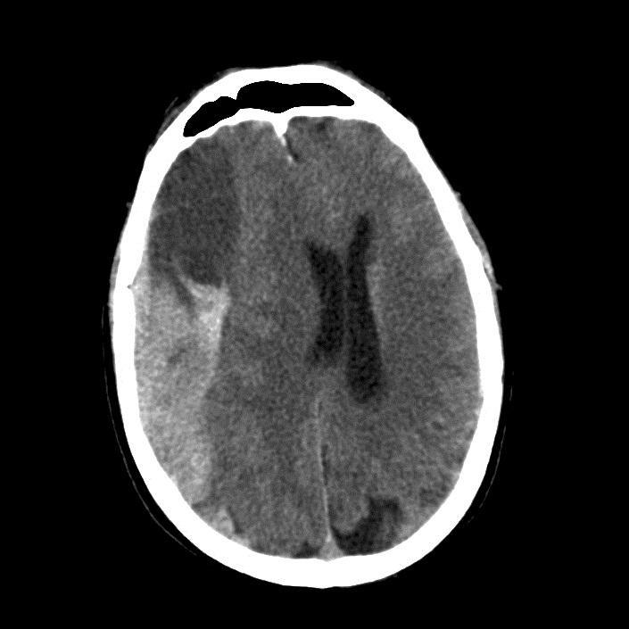
Acute Subdural 2

